Table of Contents
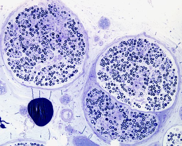
Washington University Experience | PERIPHERAL NEUROPATHY | 7A GUILLAIN-BARRE SYNDROME (GBS) | 6A1 GBS (Case 6) Plastic 35
Case 6 No History ---- Diagnosis proven by ultrastructure. ---- 6A1,2 Low magnification images of several fascicles show patchy loss of myelinated axons. (Plastic sections)
