Table of Contents



Washington University Experience | PERIPHERAL NEUROPATHY | 7A GUILLAIN-BARRE SYNDROME (GBS) | 6A2 GBS (Case 6) Plastic 11

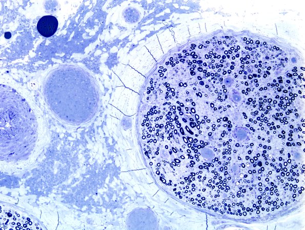
6A2 GBS (Case 6) Plastic 11
Low magnification images of several fascicles show patchy loss of myelinated axons. (Plastic sections)


Gallery RSS RSS Feed | Archive View | Login | Powered by Zenphoto