Table of Contents
Washington University Experience | PERIPHERAL NEUROPATHY | 7A GUILLAIN-BARRE SYNDROME (GBS) | 6A3 GBS (Case 6) Plastic 22
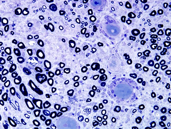
Vessels near the focus of patchy demyelination show perivascular lymphocytic/monocytic inflammation. (Plastic section)
