Table of Contents
« prev
next »
Washington University Experience
|
PERIPHERAL NEUROPATHY
|
7A GUILLAIN-BARRE SYNDROME (GBS)
|
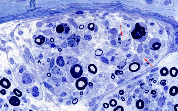
7A2 GBS (Case 7) Plastic 100X 6 copy
A closeup of one of the demyelinated foci showing demyelination (arrows). (Plastic section)
Image Info
Camera Maker:
Olympus
Camera Model:
DP74
Shutter Speed:
19/400 sec
Metering Mode:
Multi-Spot
Gallery RSS
|
Archive View
|
Login
|
Powered by
Zenphoto