Table of Contents
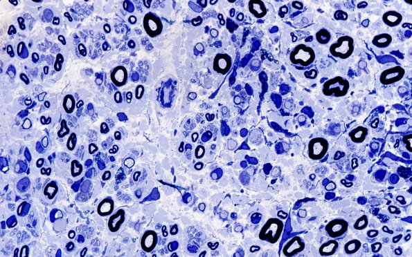
Washington University Experience | PERIPHERAL NEUROPATHY | 7A GUILLAIN-BARRE SYNDROME (GBS) | 7A4 GBS (Case 7) Plastic 100X 3
There are many regions in which the number of demyelinated and thinly remyelinated axons are markedly increased. (Plastic sections)
