Table of Contents
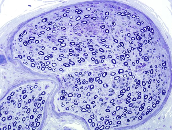
Washington University Experience | PERIPHERAL NEUROPATHY | 7A GUILLAIN-BARRE SYNDROME (GBS) | 8A1 GBS (Case 8) Plastic 4
Case 8 No History ---- Diagnosis proven by ultrastructure. ---- Patchy demyelination and myelin debris demonstrate involvement of this fascicle. (Plastic section)
