Table of Contents



Washington University Experience | PERIPHERAL NEUROPATHY | 7A GUILLAIN-BARRE SYNDROME (GBS) | 8A3 GBS (Case 8) Plastic 7

8A3 GBS (Case 8) Plastic 7
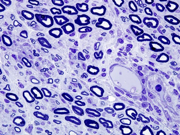
In this case an inflammatory perivascular infiltrate was particularly prominent. (Plastic sections)


Gallery RSS RSS Feed | Archive View | Login | Powered by Zenphoto