Table of Contents
Washington University Experience | PERIPHERAL NEUROPATHY | 7A GUILLAIN-BARRE SYNDROME (GBS) | 9A1 GBS, (Case 9) LFB-PAS 1
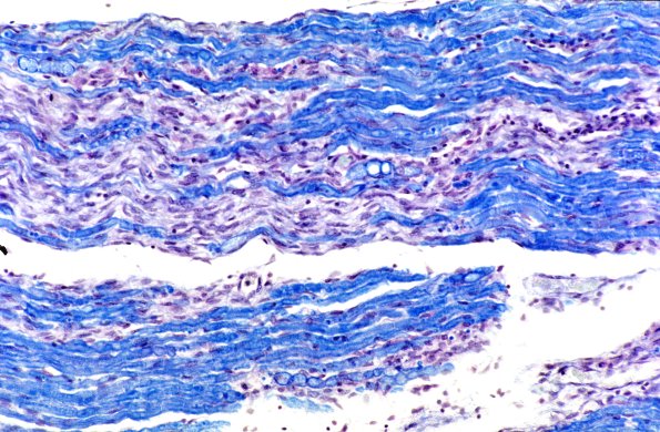
Case 9 History ---- The patient was a 17 year old male with a clinical course compatible with Guillain-Barre syndrome. He expired when his tracheotomy tube eroded anteriorly into the brachiocephalic artery and he hemorrhaged into his lungs. ---- 9A1,2 The dorsal and ventral spinal roots in longitudinal section showed patchy loss of myelin (LFB-PAS, 9A1) with relative preservation of axons (Bodian, 9A2)
