Table of Contents
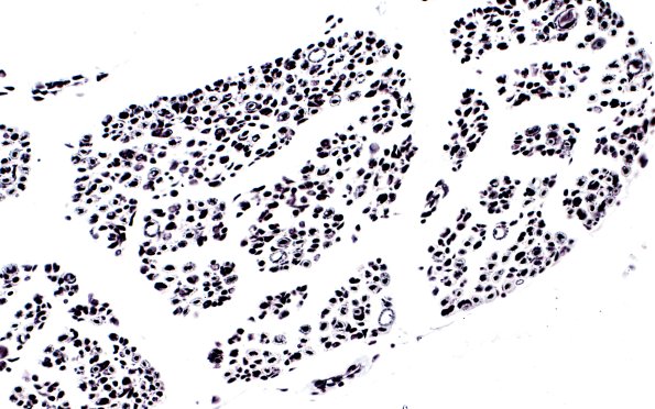
Washington University Experience | PERIPHERAL NEUROPATHY | 7A GUILLAIN-BARRE SYNDROME (GBS) | 9A4 GBS (Case 9) Bodian 40X 1
Cross sections of spinal roots stained for myelin (LFB-PAS, 9A3) and axons (Bodian, 9A4) show myelin loss with relative preservation of axons.
