Table of Contents
Washington University Experience | PERIPHERAL NEUROPATHY | 7B CIDP | 10A1 CIDP (Case 10) Plastic 1 copy.jpg
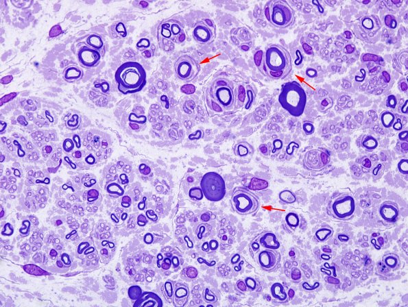
Case 10 No History ---- 10A1-3 These images show numerous axons with early onion bulb formation (arrows) and all stages of demyelination. (Plastic sections)
