Table of Contents
Washington University Experience | PERIPHERAL NEUROPATHY | 7B CIDP | 10A2 CIDP (Case 10) Plastic 2.jpg
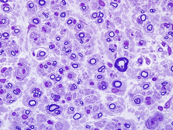
These images show numerous axons with early onion bulb formation (arrows) and all stages of demyelination. (Plastic sections)
