Table of Contents



Washington University Experience | PERIPHERAL NEUROPATHY | 7B CIDP | 10B2 Paraprotein (Case 10)_028 - Copy

10B2 Paraprotein (Case 10)_028 - Copy
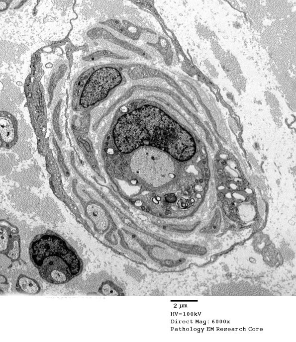
10B2-4 Onion bulbs may contain completely demyelinated axons or all stages of remyelination. (electron micrographs)


Gallery RSS RSS Feed | Archive View | Login | Powered by Zenphoto