Table of Contents



Washington University Experience | PERIPHERAL NEUROPATHY | 7B CIDP | 10B3 CIDP (Case 10) EM 027 - Copy

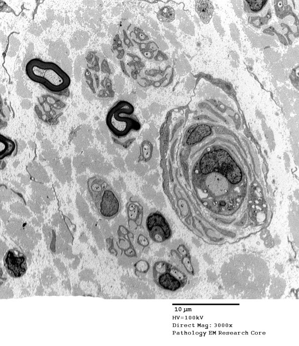
10B3 CIDP (Case 10) EM 027 - Copy
Onion bulbs may contain completely demyelinated axons or all stages of remyelination. (electron micrographs)


Gallery RSS RSS Feed | Archive View | Login | Powered by Zenphoto