Table of Contents



Washington University Experience | PERIPHERAL NEUROPATHY | 7B CIDP | 10B6 Paraprotein (Case 10)_035 - Copy

10B6 Paraprotein (Case 10)_035 - Copy
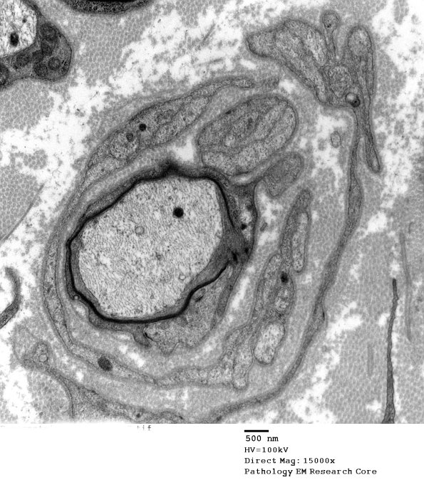
An axon undergoing remyelination is shown. (electron micrograph)


Gallery RSS RSS Feed | Archive View | Login | Powered by Zenphoto