Table of Contents
Washington University Experience | PERIPHERAL NEUROPATHY | 7B CIDP | 10B7 Paraprotein (Case 10)_034 - Copy
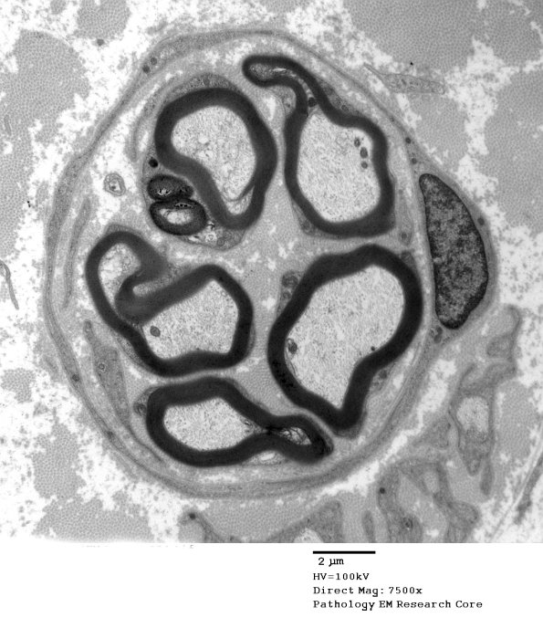
This is a regenerative cluster following axonal degeneration which demonstrates that axonal sparing in CIDP is only relative. (electron micrograph)
