Table of Contents



Washington University Experience | PERIPHERAL NEUROPATHY | 7B CIDP | 10B8 Paraprotein (Case 10)_052 - Copy

10B8 Paraprotein (Case 10)_052 - Copy
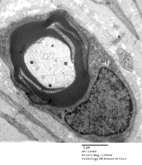
10B8,9 This axon shows multiple Schmidt-Lanterman clefts in one field. (electron micrograph)


Gallery RSS RSS Feed | Archive View | Login | Powered by Zenphoto