Table of Contents
Washington University Experience | PERIPHERAL NEUROPATHY | 7B CIDP | 11A1 CIDP (Case 11).jpg
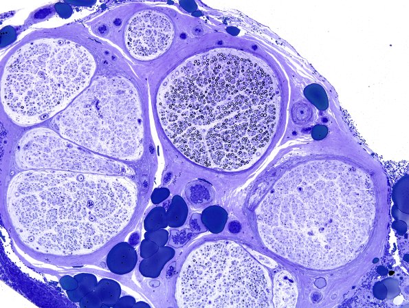
Case 11 No History CIDP ---- 11A1 This sural nerve in a patient with CIDP shows marked variation in fascicle to fascicle myelinated fiber content. (Plastic sections)
