Table of Contents
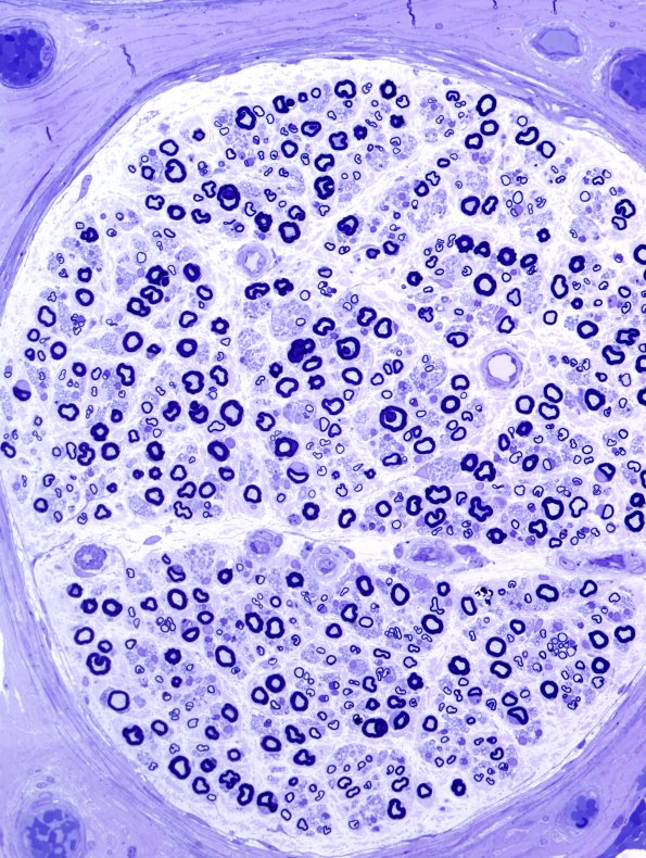
Washington University Experience | PERIPHERAL NEUROPATHY | 7B CIDP | 11A2 CIDP (Case 11).jpg
11A2,3 A well populated fascicle (11A2) appears relatively unremarkable compared to a heavily demyelinated fascicle (11A3). (Plastic sections)
