Table of Contents
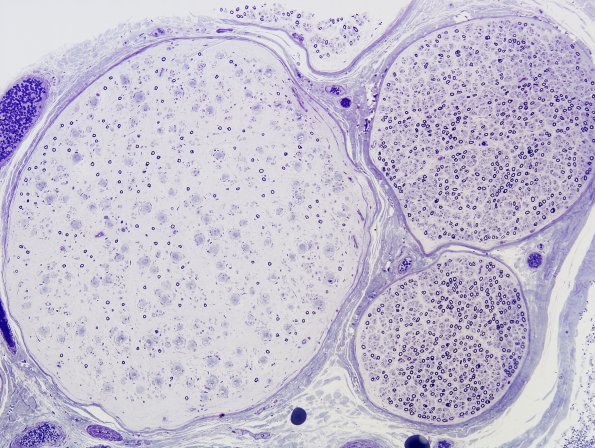
Washington University Experience | PERIPHERAL NEUROPATHY | 7B CIDP | 12A2 CIDP (Case 12) Plastic 13
12A2,3 Higher magnification comparison between fascicles shows numerous onion-bulbs in some fascicles and few in others. (Plastic sections)
