Table of Contents
Washington University Experience | PERIPHERAL NEUROPATHY | 7B CIDP | 12A3 CIDP (Case 12) Plastic 7
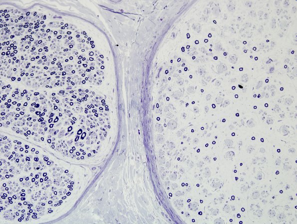
Higher magnification comparison between fascicles shows numerous onion-bulbs in some fascicles and few in others. (Plastic sections)
