Table of Contents



Washington University Experience | PERIPHERAL NEUROPATHY | 7B CIDP | 12A7 CIDP (Case 12) Plastic 3

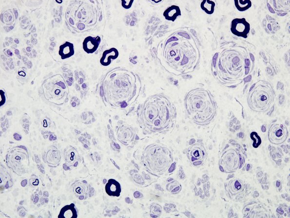
12A7 CIDP (Case 12) Plastic 3
There is variable density of onion-bulbs from one fascicle to another. (Plastic sections)


Gallery RSS RSS Feed | Archive View | Login | Powered by Zenphoto