Table of Contents
Washington University Experience | PERIPHERAL NEUROPATHY | 7B CIDP | 12A8 CIDP (Case 12) Plastic 23
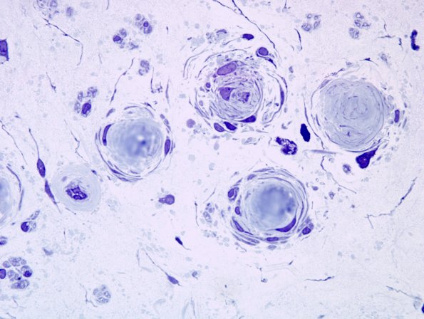
Some onion-bulbs are hyalinized, axon less and hypocellular and are designated “obsolete onion bulbs”. (Plastic section) ---- Not shown: There is ultrastructural confirmation of macrophage-mediated demyelination but images are not available.
