Table of Contents
« prev
next »
Washington University Experience
|
PERIPHERAL NEUROPATHY
|
7B CIDP
|
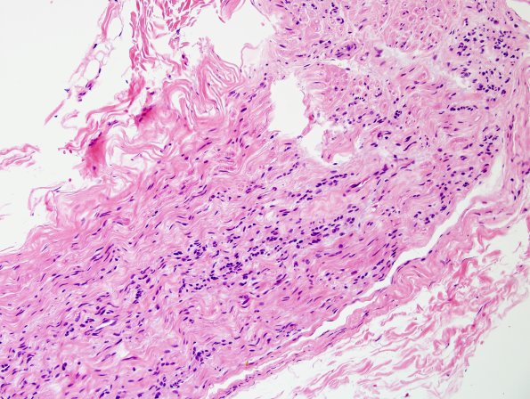
13A1 CIDP (Case 13) H&E 20X 2.jpg
13A1,2 Prominent inflammatory infiltrate was found within the endoneurium. (H&E)
Image Info
Camera Maker:
Olympus Corporation
Camera Model:
DP70
Original Time Taken:
05-04-2016
Shutter Speed:
1/800 sec
ISO Sensitivity:
200
Metering Mode:
Spot
Gallery RSS
|
Archive View
|
Login
|
Powered by
Zenphoto