Table of Contents
« prev
next »
Washington University Experience
|
PERIPHERAL NEUROPATHY
|
7B CIDP
|
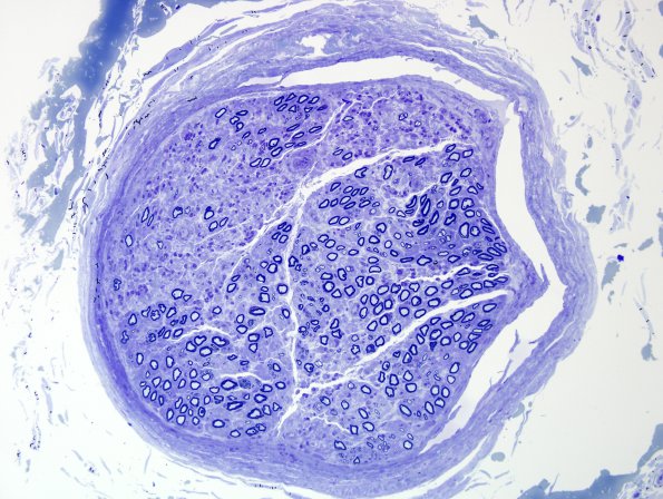
13B1 CIDP (Case 13) 20X.jpg
A typical image in this nerve of patchy loss of myelinated axons. (Plastic sections)
Image Info
Camera Maker:
Olympus Corporation
Camera Model:
DP70
Original Time Taken:
02-04-2016
Shutter Speed:
1/950 sec
ISO Sensitivity:
200
Metering Mode:
Spot
Gallery RSS
|
Archive View
|
Login
|
Powered by
Zenphoto