Table of Contents



Washington University Experience | PERIPHERAL NEUROPATHY | 7B CIDP | 13C1 Case 13_015 - Copy

13C1 Case 13_015 - Copy
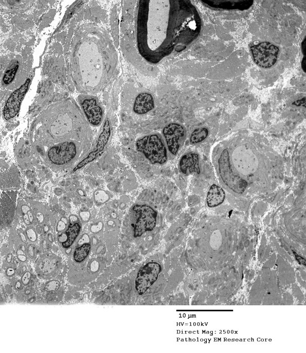
13C1,2 Small inflammatory cells were numerous in ultrastructural examination. (electron micrograph)


Gallery RSS RSS Feed | Archive View | Login | Powered by Zenphoto