Table of Contents



Washington University Experience | PERIPHERAL NEUROPATHY | 7B CIDP | 13C4 Case 13 008 - Copy

13C4 Case 13 008 - Copy
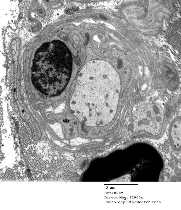
Multiple examples of demyelinated large axons, many surrounded by numerous delicate macrophage processes. (electron micrographs)


Gallery RSS RSS Feed | Archive View | Login | Powered by Zenphoto