Table of Contents



Washington University Experience | PERIPHERAL NEUROPATHY | 7B CIDP | 13C6 Case 13_063 - Copy

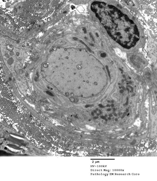
13C6 Case 13_063 - Copy
Multiple examples of demyelinated large axons, many surrounded by numerous delicate macrophage processes. (electron micrographs)


Gallery RSS RSS Feed | Archive View | Login | Powered by Zenphoto