Table of Contents
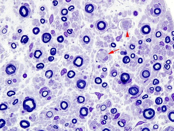
Washington University Experience | PERIPHERAL NEUROPATHY | 7B CIDP | 14A1 CIDP (Case 14) Plastic 7 copy
Case 14 No History ---- 14A1 This sural nerve shows numerous demyelinated axons (arrow) and early onion-bulb formations (arrowhead). (Plastic sections)
