Table of Contents



Washington University Experience | PERIPHERAL NEUROPATHY | 7B CIDP | 15A1 CIDP (Case 15) Plastic 3

15A1 CIDP (Case 15) Plastic 3
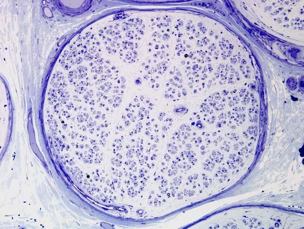
Case 15 No History ---- 15A1,2 A depopulated fascicle with numerous demyelinated axons and onion-bulbs. (Plastic sections)


Gallery RSS RSS Feed | Archive View | Login | Powered by Zenphoto