Table of Contents



Washington University Experience | PERIPHERAL NEUROPATHY | 7B CIDP | 15A2 CIDP (Case 15 Plastic 2

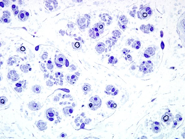
15A2 CIDP (Case 15 Plastic 2
A depopulated fascicle with numerous demyelinated axons and onion-bulbs. (Plastic sections)


Gallery RSS RSS Feed | Archive View | Login | Powered by Zenphoto