Table of Contents



Washington University Experience | PERIPHERAL NEUROPATHY | 7B CIDP | 16A2 CIDP Case 16 Plastic 2

16A2 CIDP Case 16 Plastic 2
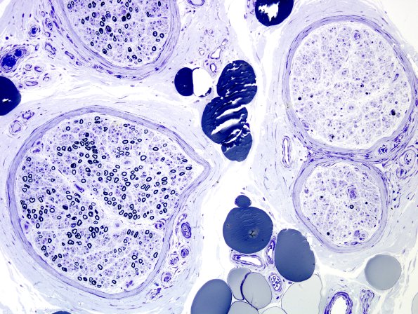
A case of EM proven CIDP with marked fascicle-to-fascicle variability in myelinated axon number. (Plastic sections)


Gallery RSS RSS Feed | Archive View | Login | Powered by Zenphoto