Table of Contents
Washington University Experience | PERIPHERAL NEUROPATHY | 7B CIDP | 17A1 CIDP (Case 17i) Plastic 10
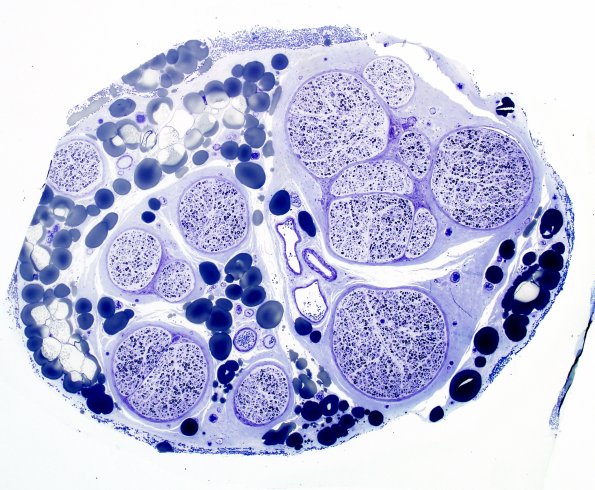
Case 17 History
17A1-3 A case of EM proven CIDP with marked fascicle-to-fascicle variability in myelinated axon number. (Plastic sections)
