Table of Contents



Washington University Experience | PERIPHERAL NEUROPATHY | 7B CIDP | 17A2 CIDP (Case 17 Plastic 1

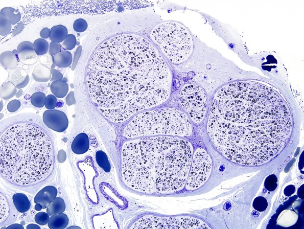
17A2 CIDP (Case 17 Plastic 1
A case of EM proven CIDP with marked fascicle-to-fascicle variability in myelinated axon number. (Plastic sections)


Gallery RSS RSS Feed | Archive View | Login | Powered by Zenphoto