Table of Contents
Washington University Experience | PERIPHERAL NEUROPATHY | 7B CIDP | 18A1 CIDP (Case 18) Plastic 2.jpg
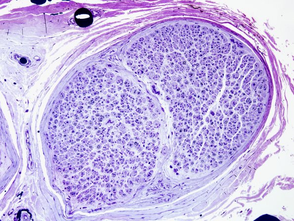
Case 18 History ---- The patient is a 73 year old female with a neuropathy, not defined as CIDP but could include hereditary neuropathy.
18A1-4 This case demonstrates well developed demyelination and prominent onion bulbs. (Plastic sections)
