Table of Contents
« prev
next »
Washington University Experience
|
PERIPHERAL NEUROPATHY
|
7B CIDP
|
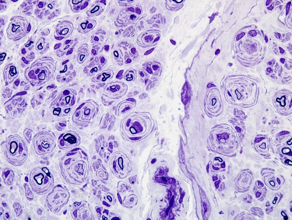
18A3 CIDP (Case 18) Plastic 5.jpg
This case demonstrates well developed demyelination and prominent onion bulbs. (Plastic sections)
Image Info
Camera Maker:
Olympus Corporation
Camera Model:
DP70
Original Time Taken:
13-05-2014
Shutter Speed:
10/157 sec
ISO Sensitivity:
200
Metering Mode:
Spot
Gallery RSS
|
Archive View
|
Login
|
Powered by
Zenphoto