Table of Contents



Washington University Experience | PERIPHERAL NEUROPATHY | 7B CIDP | 19A2 CIDP (Case 19) Plastic 2A copy

19A2 CIDP (Case 19) Plastic 2A copy
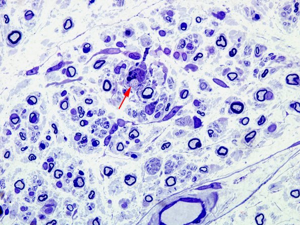
An axon undergoing macrophage-mediated demyelination (arrow). (Plastic sections)


Gallery RSS RSS Feed | Archive View | Login | Powered by Zenphoto