Table of Contents



Washington University Experience | PERIPHERAL NEUROPATHY | 7B CIDP | 19A3 Fig 9-14 CIDP (Case 19) Plastic 3

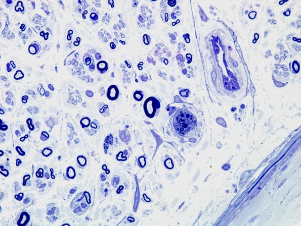
19A3 Fig 9-14 CIDP (Case 19) Plastic 3
19A3-5 Other areas show ongoing demyeination and a few onion bulbs. (Plastic sections)


Gallery RSS RSS Feed | Archive View | Login | Powered by Zenphoto