Table of Contents



Washington University Experience | PERIPHERAL NEUROPATHY | 7B CIDP | 19A4 CIDP (Case 19) Plastic 1A

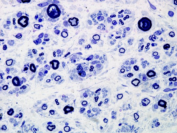
19A4 CIDP (Case 19) Plastic 1A
Other areas show ongoing demyeination and a few onion bulbs. (Plastic sections)


Gallery RSS RSS Feed | Archive View | Login | Powered by Zenphoto