Table of Contents
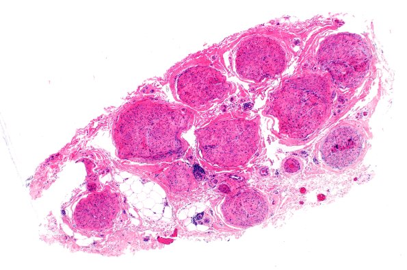
Washington University Experience | PERIPHERAL NEUROPATHY | 7B CIDP | 1A1 CIDP (Case 1) H&E 4X
Case 1 History ---- The patient is a 75 year old female with a history of diet-controlled diabetes and breast carcinoma who has been undergoing evaluation of peripheral neuropathy characterized by both sensory and motor deficits, including numbness involving both feet equally. She has undergone peripheral nerve conduction studies and there is a clinical diagnosis of chronic inflammatory demyelinating polyradiculoneuropathy (CIDP). Operative procedure: Left sural nerve biopsy. --- 1A1,2 Although comforting for the diagnosis of CIDP, inflammation is seen in a minority of cases. (H&E)
