Table of Contents
« prev
next »
Washington University Experience
|
PERIPHERAL NEUROPATHY
|
7B CIDP
|
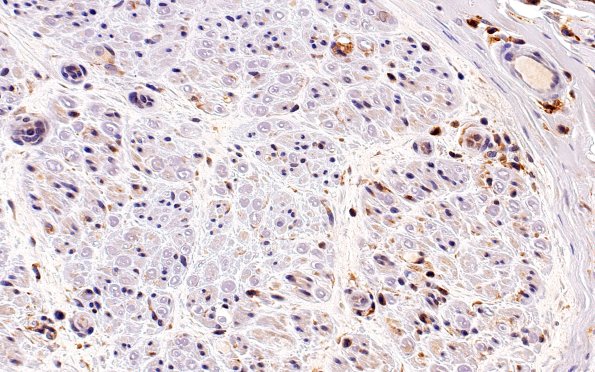
1B2 CIDP (Case 1) CD45 40X 2
Inflammation is present around epineurial vessels and within the endoneurium. (CD45 IHC)
Image Info
Camera Maker:
Olympus
Camera Model:
DP74
Shutter Speed:
20/3643 sec
Metering Mode:
Multi-Spot
Gallery RSS
|
Archive View
|
Login
|
Powered by
Zenphoto