Table of Contents



Washington University Experience | PERIPHERAL NEUROPATHY | 7B CIDP | 1C1 CIDP (Case 1) Plastic 8 4X

1C1 CIDP (Case 1) Plastic 8 4X
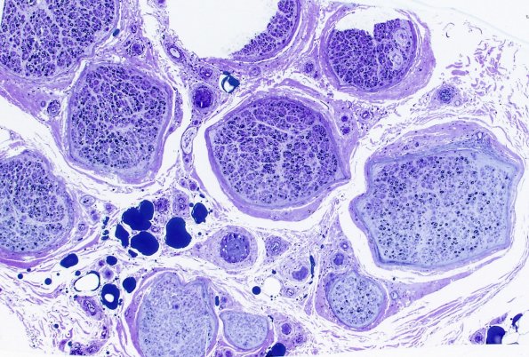
A low magnification image shows significant variation in myelinated axon density from fascicle to fascicle. (Plastic section)


Gallery RSS RSS Feed | Archive View | Login | Powered by Zenphoto