Table of Contents



Washington University Experience | PERIPHERAL NEUROPATHY | 7B CIDP | 1C10 CIDP (Case 1) Plastic 21 copy

1C10 CIDP (Case 1) Plastic 21 copy
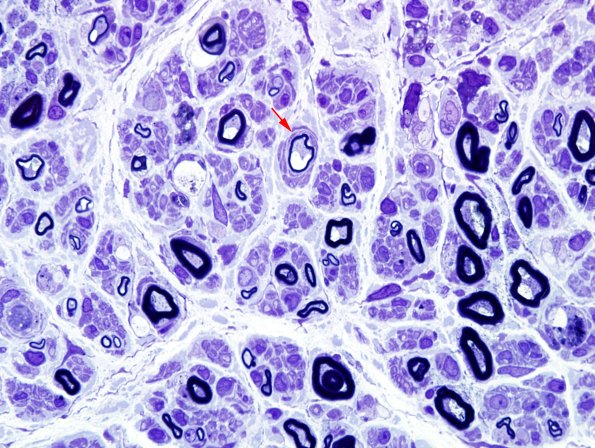
An early onion-bulb (arrow). (Plastic section)


Gallery RSS RSS Feed | Archive View | Login | Powered by Zenphoto