Table of Contents



Washington University Experience | PERIPHERAL NEUROPATHY | 7B CIDP | 1C2 CIDP (Case 1) Plastic 8A 20X

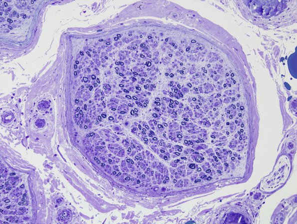
1C2 CIDP (Case 1) Plastic 8A 20X
One fascicle with only modest loss of myelinated axons. (Plastic section)


Gallery RSS RSS Feed | Archive View | Login | Powered by Zenphoto