Table of Contents
Washington University Experience | PERIPHERAL NEUROPATHY | 7B CIDP | 1C5 CIDP (Case 1) Plastic 3A
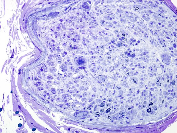
This section of one of the pale fascicles of 1C1 shows a few remaining myelinated axons, particularly large myelinated axons. (Plastic section)
