Table of Contents
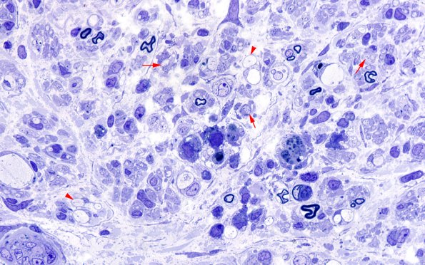
Washington University Experience | PERIPHERAL NEUROPATHY | 7B CIDP | 1C6 CIDP (Case 1) Plastic 100X 3 copy copy
It may be difficult to tell demyelinated axons (arrows) from large pale Schwann cell processes (arrowheads). (Plastic section)
