Table of Contents
Washington University Experience | PERIPHERAL NEUROPATHY | 7B CIDP | 1D1 CIDP (Case 1) EM 056 - Copy
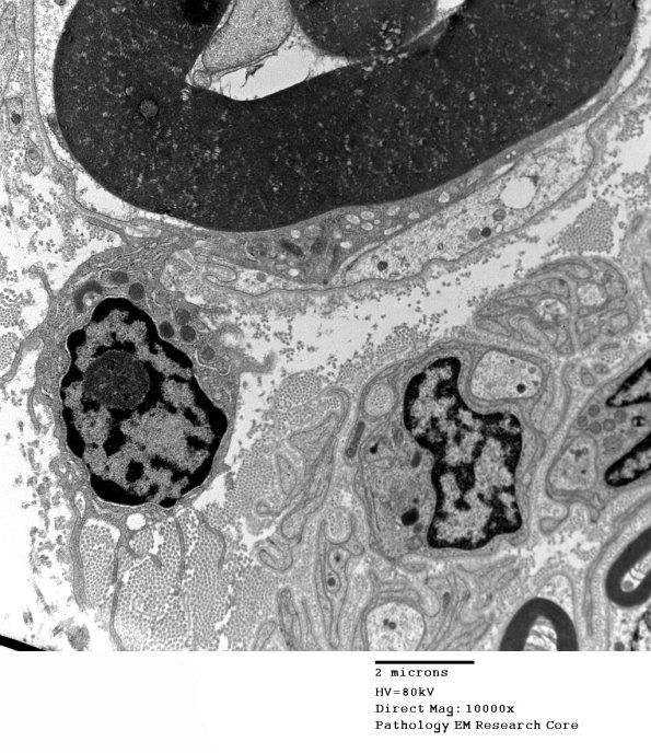
1D1-26 I know that I have illustrated this section excessively. Macrophage-mediated demyelination has always been one of my favorite nerve pathologies. Each numeral is a different axon in this case with higher magnification images of that axon designated A,B,C….---- 1D1A-D A very busy endoneurium in this nerve with numerous macrophages, particularly involving the axon in the left lower corner seen subsequently at several magnifications. (electron micrographs)
