Table of Contents
Washington University Experience | PERIPHERAL NEUROPATHY | 7B CIDP | 1D10C CIDP (Case 1) EM 5 - Copy
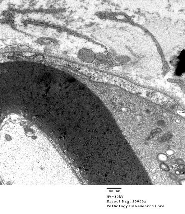
An early lesion where there is little myelin loss and only myelin debris in the macrophage. However, the tongues of macrophages are easy to recognize against the background of Schwann cell cytoplasm and small processes. (electron micrographs)
