Table of Contents



Washington University Experience | PERIPHERAL NEUROPATHY | 7B CIDP | 1D12A CIDP (Case 1)_023 - Copy

1D12A CIDP (Case 1)_023 - Copy
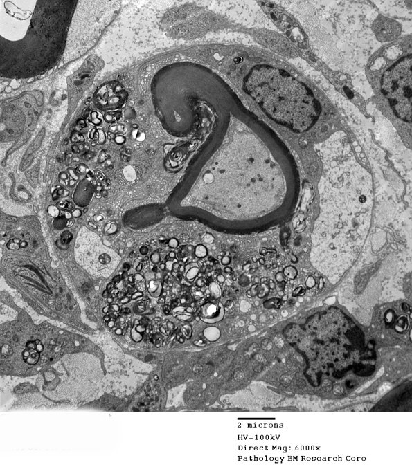
1D12A-D This series of images shows a well developed but incomplete myelin stripping. (electron micrographs)


Gallery RSS RSS Feed | Archive View | Login | Powered by Zenphoto