Table of Contents



Washington University Experience | PERIPHERAL NEUROPATHY | 7B CIDP | 1D12B CIDP (Case 1)_026 - Copy

1D12B CIDP (Case 1)_026 - Copy
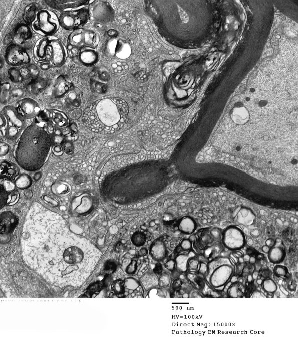
1D12B,C Several patterns of myelinopathy are noted including vesicular myelin change. (electron micrographs)


Gallery RSS RSS Feed | Archive View | Login | Powered by Zenphoto