Table of Contents
Washington University Experience | PERIPHERAL NEUROPATHY | 7B CIDP | 1D12D CIDP (Case 1)_029 - Copy
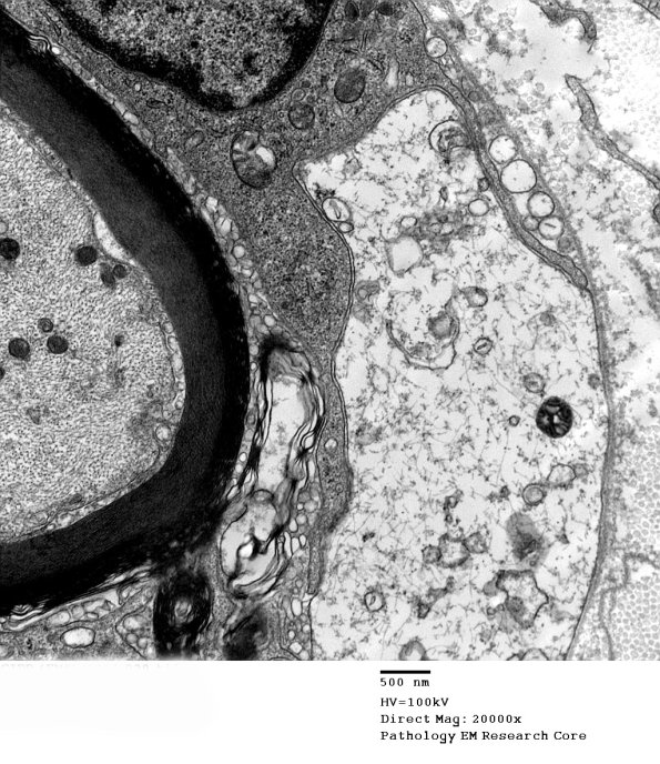
This image shows watery myelin with debris-free Schwann cell cytoplasm which represents a difference between ordinary demyelination and macrophage mediated demyelination where only macrophages have myelin debris. (electron micrograph)
